Ah l’orthodontie ! Qui en a eu recours ? Aujourd’hui je vous parle des bienfaits de l’ostéopathie lorsque l’on entreprend des soins d’orthodontie. La beauté d’un sourire ne dépend pas seulement de dents blanches et bien alignées, mais de l’intention que l’on y met. Tout le monde a un beau sourire, dents alignées ou pas. C’est l’intention de faire rire, sourire est bien plus important que l’esthétique des dents.
Une chose qui m’intéresse bien plus que l’apparence c’est la fonction. Comment fonctionne cette mâchoire ? Pourquoi les dents ne sont pas alignés ou avec une mauvaise occlusion ?
Aujourd’hui, l’esthétisme passe devant la fonctionnalité, mais à quel prix ? Porter des bagues dentaires n’est pas sans conséquence pour notre corps, je vais vous expliquer pourquoi.
Déjà commençons par la base, qu’est-ce que les dents et à quoi servent-elles ?
Nous possédons approximativement 32 dents définitives (suivant le nombre de dents de sagesse). La fonction principale des dents est de manger, parler et sourire. Les dents participent ainsi à la mastication des aliments, ainsi qu’à la production du son et le placement de la langue. Lorsqu’une des fonctions est altérée, nous pouvons avoir recours à l’orthodontie.

Pourquoi mes dents se placent ainsi ?
Tout d’abord, nous héritons des dents de nos parents. La forme, la couleur et la taille de nos dents est présent dans notre patrimoine génétique, ainsi que le nombre de dents. Ce paramètre est indépendant de notre volonté.
En revanche, en plus de cette notion d’hérédité, nos habitudes et notre environnement peuvent moduler le positionnement de nos dents.
Dès la naissance :
- Une bonne respiration nasale est essentiel pour le positionnement de la langue et le placement des dents (ronflement, bouche sèche et ouverte constamment ou régulièrement, dort la bouche ouverte etc.) Si vous observez que votre bébé respire par la bouche parlez-en au pédiatre, à l’ostéopathe, à l’orthophoniste. Une prise en charge pluridisciplinaire est possible. L’ostéopathie est indiqué pour aider votre bébé à respirer par le nez.
- le positionnement de la langue (freins de langues, tonicité et appuie de la langue sur les dents)
- Allaitement ou biberon. L’allaitement est primordial pour le développement correct du palais et de la mâchoire. L’espace disponible est modifié et souvent plus restreint lors d’un non allaitement, allaitement écourté. Le biberon demande moins d’effort pour le bébé.
- l’utilisation d’accessoires comme la tétine, le pouce, ou le Doudou (en fonction du nombre d’heures et d’année d’utilisation : par exemple, un enfant utilisant une tétine 20 minutes seulement pour s’endormir durant 1 an, aura un impact différent sur les dents qu’un enfant utilisant toute la journée la tétine pendant 5 ans)
Succion du pouce chez l’enfant

Lorsque les dents sont sorties :
- Une bonne hygiène bucco-dentaire et nasale est la base : pour de belles dents et une gencive en pleine forme. Il est essentiel de bien se laver les dents et le nez.
- Alimentation : la mastication est essentielle au développement des dents (par exemple, croquer une pomme plutôt que manger une compote de pommes, l’utilisation des dents et de leur fonction est totalement différente). Pour renforcer une fonction il faut l’utiliser. Il sera alors primordial de favoriser les aliments qui permettront la mastication.
- Parler, va permettre de positionner la langue et faire apparaitre les troubles du langage (zozoter, etc. ), l’orthophoniste peut intervenir également lorsque des troubles du langage apparaissent.
- Éviter de mâchouiller le stylo, de se ronger les ongles.
- Sourires, rire et chanter : cela mettra en action les muscles de la face et du cou.
- Être à l’écoute : pour éviter des mâchoires serrées, écoutez les émotions de vos enfants et aidez-le à y faire face. Il se sentira ainsi soulagé et relâchera les muscles de sa mâchoire. Notamment la nuit, votre enfant doit être apaisé. Cela évitera le bruxisme.
L’ostéopathie et les dents :
En ostéopathie, la vision du corps est globale. On vient observer, tester ce que la position des dents va engendrer comme tension sur le reste du corps. C’est pour cela qu’il est – je pense- essentiel que le médecin, l’orthodontiste, l’ostéopathe, l’orthophoniste travaillent ensemble.
On peut comprendre facilement que le contact des dents engendre des contractions musculaires différentes de chaque côté en fonction de la position de vos dents (vous pouvez le sentir en positionnant vos doigts sur vos joues et en serrant les dents), si la force est différente d’un côté par rapport à l’autre cela se répercute :
- au niveau du crâne, via les muscles (maux de tête, vertiges, …)
- au niveau de rachis, souvent cela commence par une adaptation des cervicales (cervicalgies, lombalgie, …) et vient modifier la posture.
- par des troubles digestifs, due à une mauvaise mastication
- en fonction du placement de la langue, et d’une potentielle béance antérieure (dentaire), la respiration peut être modifiée et être réalisée davantage par la bouche que par le nez. Cela peut ainsi engendrer des apnées du sommeil, ronflement, ainsi que tous les troubles liés au manque de sommeil récupérateur.
- Inversement une ventilation buccale préférentielle peut engendrer un mauvais positionnement de langue, et de l’apnée du sommeil …
- et bien d’autres effets.

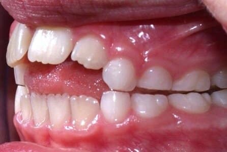
Ici par exemple on peut observer des vrilles sur les incisives ce qui indique un manque de place. Peut-être une langue mal positionnée, une occlusion incorrect, et des troubles de la ventilation. Une prise ne charge pluridisciplinaire serait intéressante. Et chez vous, c’est comment ?
Dans quel cas consulter ?
Vous pouvez entamer une prise en charge pluridisciplinaire (médecin, orthodontiste, ostéopathe, orthophoniste…) lorsque :
- vous ventilez (respirez) principalement par la bouche et cela cause de l’apnée du sommeil …
- vous présentez des douleurs (morsure des joues ou des lèvres) par le positionnement de vos dents,
- la mastication est difficile et des troubles digestifs sont présents.
- des troubles du langage persistent malgré l’orthophoniste;
- un déséquilibre postural apparaît (traction musculaire importante au niveau du dos, scoliose…)
- vous présentez une malocclusion visible (l’occlusion est l’alignement et le positionnement des dents de la mâchoire supérieure avec les dents de la mâchoire inférieure)
- vous n’aimez pas l’esthétique de vos dents
Dans tous les cas concernant l’orthodontiste : Demandez toujours plusieurs avis. Plusieurs possibilités peuvent être proposées. L’orthodontiste viendra ainsi poser du matériel sur les dents afin de les écarter (la plupart du temps) et redresser une ou plusieurs dents si besoin.
Cependant la pose du matériel va demander au corps une adaptation. Par exemple : si vous présentez initialement des douleurs cervicales, la mise en place de bagues va demander aux cervicales de s’adapter davantage (par la tension que l’on met sur la dent > sur les muscles/ ligaments autour > sur les cervicales …) et cela peut augmenter les douleurs déjà présentes. C’est pour cela que je vous recommande une séance d’ostéopathie avant l’installation du matériel afin de soulager vos cervicales au préalable et ainsi leur donner toute la mobilité nécessaire.
Ceci est valable pour toutes les interactions des dents sur le reste du corps (cf : les dents et le reste du corps ci-dessus).
Dans le cas d’une consultation avec l’orthodontiste pour l’esthétisme. Je comprends tout à fait qu’on veuille embellir son sourire, mais n’oubliez pas que la pose du matériel et la traction des dents vont demander une adaptation de l’ensemble de votre corps. Ici encore demandez plusieurs avis avant de vous lancer. L’ostéopathe vous accompagne dans ce changement.

On consulte le plus tôt possible, dès le moindre doute. Au plus tôt on prend en charge au mieux c’est pour son avenir.
Vous souhaitez prendre rendez-vous pour une séance d’ostéopathie > cliquez-ici
la déformation des dents du tout petit proviennent du site : Dentaly
